Nakanishi Dental Clinic
submainimg

治療紹介
矯正・審美
(ホワイトニング)

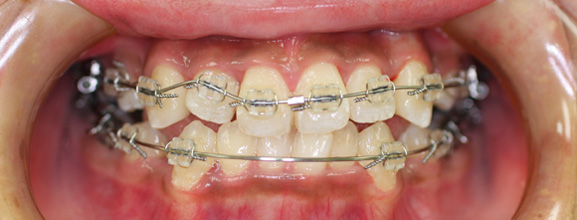
矯正について

歯並びがよくなると、食べ物をしっかりと噛むことができ、歯を綺麗に磨くことができるので口の中の健康はもちろん、消化を助け体全体の健康にもよい結果をもたらします。歯並びが不自然な状態にあると、歯ブラシが届きにくく掃除がしづらいため、プラークの磨き残しが多くなり、歯周病や虫歯も進行しやすくなります。

矯正装置装着までの流れ

①初診

矯正治療の一般的な説明をし、相談や質問があればお答えします。

②検査

口腔内はもちろん、頭や顎の形状などを写真・レントゲンなどで検査し、患者さんに合った治療計画を立てていきます。

③診断

患者さんと相談しながら治療計画を決定します。また、矯正中のブラッシング指導なども行います。(必要に応じて、虫歯治療/抜歯を行う場合があります)

矯正治療

通院は矯正の程度、装置によりますが、歯が移動するサイクルにあわせ、3~4週に1度の通院になります。その後、矯正装置をはずした後に取り外しのできる装置で一定期間、安定するまで様子をみます。その経過観察中の通院は3ヶ月~半年に1度となります。治療期間は矯正の程度によりますが、全顎的な矯正をする場合には2~3年くらいかかりますが、部分矯正では短期間ですむ場合もあります。

オフィスホワイトニング

薬剤を用いて歯を白くさせる漂白治療です。就職や結婚式など人前で会話をしなくてはならない場面など、自信あふれる爽やかな笑顔で良い印象を与えることができることでしょう! 当院では「GC Tion」をオフィスホワイトニングとして使用しています。
理由は、
・高い漂泊効果が得られる。
・漂白剤の濃度が低く安全。
・透明感のある自然な白さになる。

ホームホワイトニング

当院では「ティオン ホーム ウィズ」をホームホワイトニングとして使用しています。「ティオン ホーム ウィズ」は高濃度の薬剤により、従来の製品と比べ、短時間で効果を実感いただけます。
ご自宅でマウスピースにホワイトニングジェルを流し込み、歯に装着していただきます。ご自分のペースで続けたい方にオススメです。 期間には個人差がありますが、およそ10日~2週間程度です。

ホワイトニングについての留意点

・歯の漂白効果には個人差がある為、ご希望の白さにするには3~4回かかったり、またご希望の白さにならない場合があります。
・ホワイトニングが可能なのは自分の歯のみになり、かぶせ物や詰め物は白くなりません。
・漂白効果は永久的ではありません。色の戻りには個人差があります。
・処置後にしみたり歯や歯茎に痛みが出ることがありますが漂白を中断することで改善します。

また次の方はホワイトニングできません。
重篤な歯肉炎・歯周炎重度の知覚過敏の方
妊娠中・授乳期の女性
呼吸器疾患を持った方
重度の変色歯

審美について

当院では、オールセラミックスによる修復で、天然歯の色や透明感を再現しています。専門の歯科技工士によるオーダーメイドで、患者さんそれぞれに合った歯を提供し、美しく修復していきます。


その他、様々な状況に応じた審美を行っています。
・メタルボンド
 金属の表面にセラミックを焼き付けた素材です。
 経年変化での変色はありません。
・ジルコニアセラミック
 メタルボンドの金属の代わりに、ジルコニアという素材を使うものです。
 強度が高いのが特徴です。
・ダイレクトボンディング
 ペースト状のハイブリッドセラミックを使ってお口の中で作る白い詰め物です。
 虫歯治療のほか、変色した詰め物の見た目の改善、欠けてしまった歯の修復、歯の形状の修正に適しています。
 変色を起こしにくく、天然歯のような色調が特徴です。